အဆုတ်ကင်ဆာအား ခွဲစိတ်ကုသခြင်း
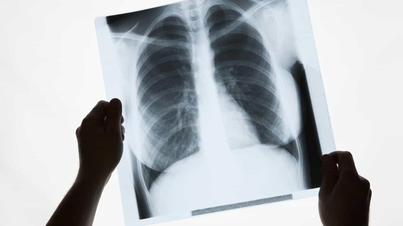
အဆုတ်ဟာ ရေမြှုပ်လို ဖောင်းပွတဲ့ အင်္ဂါအစိတ်အပိုင်းဖြစ်ပြီး အသက်ရှူသွင်းရှူထုတ်ပေးခြင်းအားဖြင့် ကိုယ်ခန္ဓာအတွက် လိုအပ်တဲ့ အောက်ဆီဂျင်ကို လေထုထဲကနေ ရယူပေးပါတယ်။ အဆုတ်ကင်ဆာဖြစ်ပွားရင်တော့ အဆုတ်ထဲမှာ အကျိတ်တွေဖြစ်လာပြီး ပုံမှန်လုပ်ငန်းဆောင်ရွက်မှုတွေကို ထိခိုက်လာပါတယ်။ ချောင်းဆိုးခြင်း၊ ရင်ဘတ်အောင့်ခြင်း၊ ချောင်းဆိုးသွေးပါခြင်း စတာတွေ ခံစားလာရပါတယ်။ အဆုတ်ကင်ဆာဖြစ်ပွားနေတယ်လို့ သတ်မှတ်ပြီးတာနဲ့ ကုသမှုအတွက် နောက်တဆင့်ကို စဉ်းစားရပါပြီ။ အဆုတ်မှာ စတင်ဖြစ်ပွားတယ်ဆိုပေမယ့် ထိရောက်စွာ မကုသနိုင်ရင် ကိုယ်ခန္ဓာရဲ့တခြားနေရာတွေကို ပျံ့နှံ့သွားနိုင်ပါတယ်။ အဆုတ်ကင်ဆာကုသနည်းတွေထဲက တမျိုးကတော့ ခွဲစိတ်ကုသခြင်းပါပဲ။ အဆုတ်ထဲက အကျိတ်ရဲ့ တည်နေရာ၊ အရွယ်အစား၊ တခြားနေရာများကို ပျံ့နှံ့မှု ရှိမရှိ စတာတွေပေါ် မူတည်ပြီး စဉ်းစားပါတယ်။ စောစီးစွာ သိရှိပြီး အဆုတ်ကင်ဆာအကျိတ်တွေကို ခွဲစိတ်ကုသနိုင်ရင် ကိုယ်ခန္ဓာရဲ့ တခြားနေရာတွေကို ပျံ့နှံ့မသွားအောင် ကာကွယ်နိုင်ပါတယ်။ ခွဲစိတ်ကုသနည်းတွေကတော့ အောက်ပါအတိုင်း ဖြစ်ပါတယ်။ အပိုင်းလိုက်ခွဲစိတ်ခြင်း (Lobectomy) လူ့ခန္ဓာကိုယ်မှာ အဆုတ်နှစ်ခုရှိပြီး […]




























